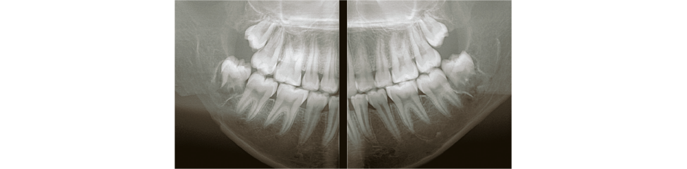
With dentists from various fields of expertise as advisors, we have carefully selected FOVs that are commonly used in clinical practice. In addition to the 3D analysis function for image detail sizes of 5x5cm, 10x10cm, 15x10cm and 15x16cm, the device features “True” and “Reconstructed” panoramic modes. With one of the largest FOVs on the market, the PreXion3D EXPLORER helps to develop the best therapy options, particularly in oral and maxillofacial surgery, airway analysis and orthodontics, as well as ear, nose and throat medicine. The use of a large 25.4x31.7cm FPD enables 15x16cm FOV scanning in one rotation.
The precise and high-resolution display of hard and soft tissue enables outstanding diagnostics and planning across all areas of modern dentistry and maxillofacial surgery. A large high-definition FPD allows all FOVs scanned in a single rotation without using stitching function.
| Endo | Perio | Implant | Ortho | Oral | Maxillo | ENT | Airway Analysis | |
|---|---|---|---|---|---|---|---|---|
| 5 x 5 cm | ✔ | ✔ | ✔ | |||||
| 10 x 10 cm | ✔ | ✔ | ✔ | ✔ | ✔ | |||
| 15 x 10 cm | ✔ | ✔ | ✔ | ✔ | ✔ | |||
| 15 x 16 cm | ✔ | ✔ | ✔ | ✔ | ✔ |
With many 3D imaging systems on the market today, high-quality images are often accompanied by high radiation exposure. The PreXion3D EXPLORER offers balance of both aspects. The PreXion3D EXPLORER utilizes the industry’s smallest 0.3mm x-ray tube focal spot and voxel sizes from 0.07mm to 0.3mm for all FOV sizes. In addition, by adopting a high X-ray tube voltage of 110kV, pulsed X-ray irradiation, 16bit gray scale, and a newly developed large FPD, it simultaneously achieves high-definition image quality for a wide range of dental clinical practice and low radiation exposure for patient safety.
The focal spot, also called focus, is the area on the target of the X-ray tube which is struck by the electron stream and emits X-rays. The larger the focal spot’s area, the poorer the detail of the image. The PreXion3D EXPLORER utilizes one of the smallest size focal spots in the industry at 0.3mm for all FOVs.

A combination of the words “volumetric” and “pixel”, a voxel is a three-dimensional volume element shaped like an isometric cube. The PreXion3D EXPLORER offers powerful imaging software with voxel sizes ranging from 0.07 to 0.3mm in order to maintain image quality.

110kV tube voltage provides optimal image quality in all tissues. It reduces artifacts and provides high definition image quality.

By irradiating X-rays intermittently instead of continuously, the radiation dose to the patient is greatly reduced. Theoretically, it can reduce the consumption of the X-ray tube.

In 3D, up to 16bit (65,536 shades of gray) can be expressed, enabling even higher resolution and smoother image expression.

PreXion3D EXPLORER was launched onto the European market in 2019 and the USA market in 2020.
As a brand that specializes in the development, production, and sales of dental CT, we offer high-definition diagnostic imaging technology that enables reliable diagnosis and treatment planning in the field of dentistry, based on more than 15 years of experience.
The PreXion3D EXPLORER is now available in Japan, after gaining recognition for its value in the United States and Europe. We will continue to support dental practices with a courteous service and maintenance system so that dentists who select PreXion3D EXPLORER will be able to use it comfortably.
| Sales Regions | Japan, USA, EU, etc. |
|---|---|
| Product Name | PreXion3D EXPLORER |
| Type of Device | 3DCBCT + 2D Panoramic |
| FOV | 150 x 156mm, 150 x 100mm, 100 x 100mm, 50 x 50mm |
| Focal Spot | 0.3mm x 0.3mm |
| Tube Voltage | 90-110kV |
| Tube Current | 1-5mA |
| Voxel Size | 0.3mm, 0.2mm, 0.1mm, 0.07mm |
| Patient Position | Standing / Sitting / Wheelchair Accessible |
| Scanner Weight | 198kg |
| Classification | Controlled Medical Devices (class II), Controlled medical devices requiring special maintenance |
| Certification Number | 301ACBZX00015000 |
| Standard Mode | 10 seconds |
|---|---|
| HD Mode | 18 seconds |
| UHD Mode | 20 seconds |
| Panoramic Standard Mode | Standard: 14 seconds, Narrow: 12 seconds |
| Panoramic TMJ2 Mode | 4 x 2 seconds |
| Panoramic TMJ4 Mode | 4 x 2 x 2 seconds |
| Bite Wing Mode | 4 x 2 seconds |